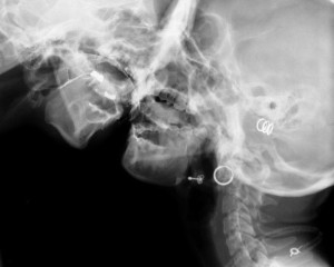
If you are an artist or have any interest in art, than you must be aware of Wim Delvoye. Wim Delvoye, the Belgian artist, known for his gothic style and his work with neo-conceptualism. However, his recent art project has got famous and gone viral, showing X-rays of the couple during intimate acts.
In 2001, Delvoye recruited several people for physical acts with each other while being x-rayed. All the participants were his friends. He was aided by a radiologist and a medical x-ray clinic.
Delvoye had his models painted themselves lightly, before performing for the x-rays, with a contrast agent called Barium which helps the body parts to show the minute details clearly in the x-rays.
However, the models were made comfortable to engage in a highly personal act. Actually, Delvoye left them alone in a room, allowing them to perform while he was watching them through a screen in another room.
The pictures vary from kissing, to touching and to carnal acts. However, the focus was more on the male than female.
The following images portrayed a very intimate and private act more in a technical and sterile way. It is giving carnal acts a very different point of view.
The entire process of the art project was sterile and medical, capturing something that is so natural and making it like stripping away all of the sentiments and bonding, says- “Wim Delvoye”.
When the images were done, Delvoye hung them in gothic window frames, turning them into stained window works of art.
You can have a look at his complete work here







Share Your Views